“Dr. M. and his entire staff are awesome! I am coming from one hour away and well worth the drive and hassle” -Nancy S. (Jun. 2017)

"Extremely helpful in relaxing my fears" - Terry S.

"If you have a need for oral surgery , advanced dentistry, or implants .. you will not find a better place to go to" - Edwin C.

"Knowledgeable and professional doctors and technicians and, most importantly, talented!" - Monica N.

"Great hospitality and service" - Emile M.





























Dr Minichetti is an extraordinary health care professional, who’s tremendous knowledge, skill, and accomplishments in his field comes across the moment you meet him. All my life I have always had problems with my teeth , until I met Dr Minichetti who’s caring and compassionate nature along with his expertise in dealing with every circumstance imaginable, never too big or too much to be dealt with, as he finds answers and solutions to every problem.


Having been privileged to observe the Michaelangelo expertise and perfection to his dentistry procedures Dr. John Minichetti is a genius in his field. Caring, one of a kind, making everything superior and patients satisfied and happy. Dr. Minichetti is the only one I recommend to my friends and family!


Let us work together to promote, restore, and maintain your dental health!

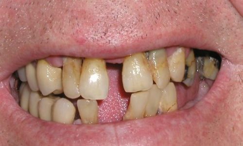
From bridges, partials to dentures, Englewood Dental has restored the smiles of countless patients.

Your new megawatt smile is our best marketing strategy!
“I would recommend anyone who is looking to get dental implants put in to come pay these Doctors a visit!! They really live up to their reputation!!!” Luisito U. (Jun. 2018)


Don't worry! No fear or anxiety. We will make you feel comfortable

Family is our goal. Everybody is welcome!

Are you tired, stressed out, and moody because of interrupted sleep?
“I was very nervous about getting an implant placed but turned out to be a very positive experience. Absolutely no pain, no swelling and very quick healing time. I must say Dr. Minichetti is the top of his field” Andrea M. (Feb. 2019)

Please Note: Messages sent with this form is not considered private. Please call (551) 553-4851 if transmitting highly confidential info. Much appreciated!